Logger Script

퍼스널 3D-CT 코성형

코는 우리 얼굴의 중심부를 이루고 있어 얼굴의 전체적인 인상에 큰 영향을 줍니다.
아이뷰성형외과 퍼스널 코성형은 이마, 미간, 코끝, 턱으로 이어지는 얼굴의 라인이 조화롭도록 입체적인 얼굴 라인을 만들어드립니다.

미용적인 부분 뿐만 아니라 코의 기능적인 부분까지 개선이 가능하며,
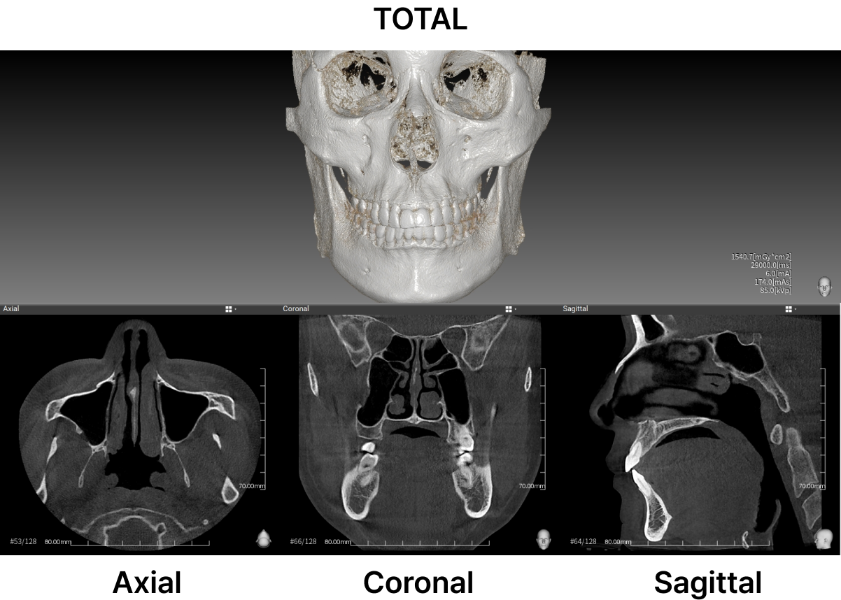
수술 전 3D-CT 장비를 활용하면 수술 부위의 뼈의 상태를 정확하게 파악 가능해 수술의 완성도를 높입니다.

코는 우리 얼굴의 중심부를 이루고 있어 얼굴의 전체적인 인상에 큰 영향을 줍니다. 아이뷰성형외과 퍼스널 코성형은 이마, 미간, 코끝, 턱으로 이어지는 얼굴의 라인이 조화롭도록 입체적인 얼굴 라인을 만들어드립니다.

미용적인 부분 뿐만 아니라 코의 기능적인 부분까지 개선이 가능하며, 수술 전 3D-CT 장비를 활용하면 수술 부위의 뼈의 상태를 정확하게 파악 가능해 수술의 완성도를 높입니다.

아이뷰성형외과 퍼스널 3D-CT 코성형은 코의 외형적인 부분 뿐만 아니라
내부의 코 뼈의 모양, 휨, 비중격연골, 코막힘 등의 증상과 원인을 미리 파악할 수 있어,
3D-CT를 이용한 입체적 분석으로 정확한 수술 계획을 수립하는데 도움이 됩니다.
혈관이나 신경 손상을 줄일 수 있어 안전하고 정확한 수술이 가능합니다.
아이뷰성형외과 퍼스널 3D-CT 코성형은 코의 외형적인 부분 뿐만 아니라 내부의 코 뼈의 모양, 휨, 비중격연골, 코막힘 등의 증상과 원인을 미리 파악할 수 있어,3D-CT를 이용한 입체적 분석으로 정확한 수술 계획을 수립하는데 도움이 됩니다. 혈관이나 신경 손상을 줄일 수 있어 안전하고 정확한 수술이 가능합니다.
IVIEW PLASTIC SURGERY * IVIEW PLASTIC SURGERY * IVIEW PLASTIC SURGERY * IVIEW PLASTIC SURGERY * IVIEW PLASTIC SURGERY * IVIEW PLASTIC SURGERY * IVIEW PLASTIC SURGERY * IVIEW PLASTIC SURGERY * IVIEW PLASTIC SURGERY * IVIEW PLASTIC SURGERY *

퍼스널코성형 수술정보

  • 수술시간

    2시간

  • 마취방법

    전신마취

  • 입원여부

    당일 귀가

  • 내원치료

    4회

  • 회복기간

    1주일 이내

정확하고 입체적인 분석을 위한
아이뷰 퍼스널 3D-CT 코성형

정확하고 입체적인 분석을 위한 아이뷰 퍼스널 3D-CT 코성형

코뼈와 비중격 연골 등 피부조직의 전반적인 상태는 육안으로 확인하기 어렵습니다.
3D-CT촬영을 이용하여 보다 정밀하게 분석이 필요합니다.
아이뷰성형외과 코성형은 3D-CT를 통해 보다 정밀하게 분석 후 1:1 맞춤 디자인 및 수술을 진행합니다.
코뼈와 비중격 연골 등 피부조직의 전반적인 상태는 육안으로 확인하기 어렵습니다. 3D-CT촬영을 이용하여 보다 정밀하게 분석이 필요합니다. 아이뷰성형외과 코성형은 3D-CT를 통해 보다 정밀하게 분석 후 1:1 맞춤 디자인 및 수술을 진행합니다.

아이뷰성형외과는 3D CT로 코의 골격구조, 코뼈의 넓이, 비대칭 유무, 매부리, 휘어짐, 비중격 연골 크기 등
면밀하게 분석하고 1:1 상담을 통해 개인의 요구조건을 반영하여 수술 계획을 세웁니다.

아이뷰성형외과는 3D CT로 코의 골격구조, 코뼈의 넓이, 비대칭 유무, 매부리, 휘어짐, 비중격 연골 크기 등 면밀하게 분석하고 1:1 상담을 통해 개인의 요구조건을 반영하여 수술 계획을 세웁니다.

퍼스널코성형 포인트

  • 01 코의 높이

    코성형시 가장 중요한 부분이
    코의 높이 입니다.
    자신에게 맞는 이상적인 코는 얼굴을
    더욱 입체적으로 보이게합니다.

    코성형시 가장 중요한 부분이 코의 높이 입니다. 자신에게 맞는 이상적인 코는 얼굴을 더욱 입체적으로 보이게합니다.

  • 02 코의 각도

    코끝과 콧대의 높이는
    코의 각도에 따라 달라질 수 있습니다.
    정밀분석으로 이상적인 코의 각도를
    찾아 드립니다.

    코끝과 콧대의 높이는 코의 각도에 따라 달라질 수 있습니다. 정밀분석으로 이상적인 코의 각도를 찾아 드립니다.

  • 03 코의 길이

    얼굴의 황금비율에 따른
    이상적인 코의 길이를 찾아 전체적인
    얼굴형까지 조화롭고
    균형있게 만듭니다.

    얼굴의 황금비율에 따른 이상적인 코의 길이를 찾아 전체적인 얼굴형까지 조화롭고 균형있게 만듭니다.

  • 04 코의 넓이

    정면에서 코의 넓이는 전체적인 얼굴
    이미지를 좌우합니다.
    가로 얼굴 비율에 따른
    최적의 코넓이를 찾아드립니다.

    정면에서 코의 넓이는 전체적인 얼굴 이미지를 좌우합니다. 가로 얼굴 비율에 따른 최적의 코넓이를 찾아드립니다.

3D-CT 코성형이 필요한 경우

  • 매부리코

    콧대 중간 부위가
    도드라져 보이는 경우

    콧대 중간 부위가 도드라져 보이는 경우

  • 긴코, 화살코

    코의 길이가 길고 코 끝이
    처져 보이는 경우

    코의 길이가 길고 코 끝이 처져 보이는 경우

  • 짧은코

    코가 짧고 코끝이 들려
    콧구멍이 보이는 경우

    코가 짧고 코끝이 들려 콧구멍이 보이는 경우

  • 낮은코

    콧대가 낮아
    밋밋해 보이는 경우

    콧대가 낮아 밋밋해 보이는 경우

  • 휜코, 비중격만곡증

    얼굴의 균형과
    기능문제를 야기하는 경우

    얼굴의 균형과 기능문제를 야기하는 경우

  • 코끝성형

    콧대에 비해 코끝이
    낮고 넓게 퍼진 경우

    콧대에 비해 코끝이 낮고 넓게 퍼진 경우

  • 복코

    코끝이 뭉툭해 세련되
    보이지 않는 경우

    코끝이 뭉툭해 세련되 보이지 않는 경우

  • 콧볼축소

    코가 퍼져 보이고
    콧구멍이 커보이는 경우

    코가 퍼져 보이고 콧구멍이 커보이는 경우

함께하면 더좋은 시술, 수술

이마지방이식

볼륨 있는 이마부터
매끈한 코 라인까지

고압산소치료

세포의 재생으로 빠른회복과
피로 회복 효과까지

매부리교정

볼록한 콧등뼈를 교정해
어느 각도에서도 부드러운 콧대라인

TOP